ZINE
14
HOME  ABOUT  FICTION  POETRY  ART  SUBMIT  NEWS  ZINES  BEWARE  CONTACT  BEST  WITCHES  BOOKS  FILMS
The Morbidly Fascinating Page
This month's Morbidly Fascinating subject: Hyperdontia (too many teeth)

IN THE ARCHIVES:

Preserved
Circus Curiosities
Accidental Victim Photos
Head Dents
Ghosts of Alcatraz
Fox Mulder
X-Rays
Werewolf Syndrome

Hyperdontia: the presence of extra (supernumerary) teeth.

Below are examples of mild cases, and examples of extreme cases.

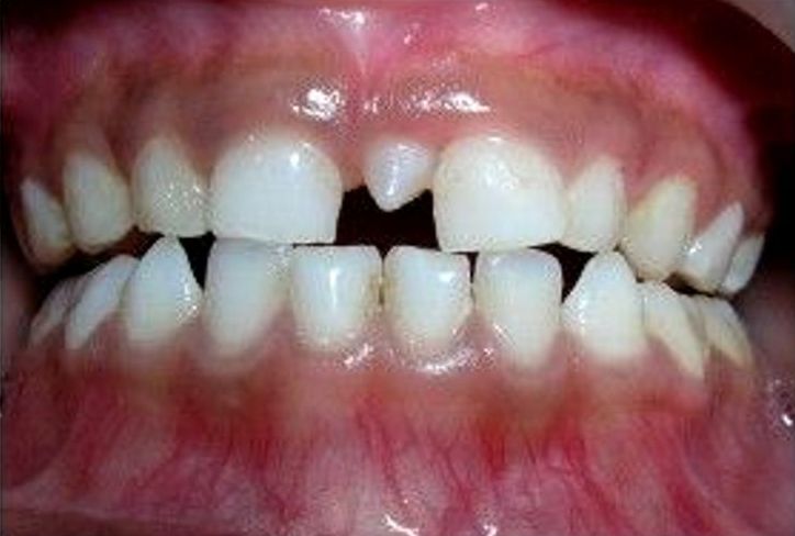
MILD CASES

1

2

4

mild

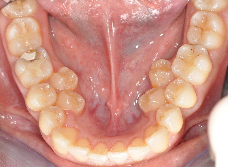
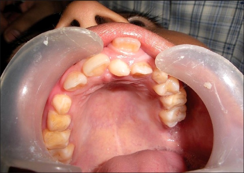
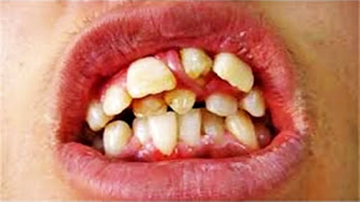
EXTREME CASES

child

lots

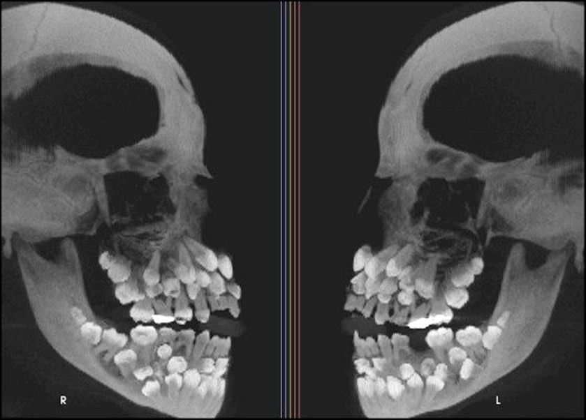
17

15

16

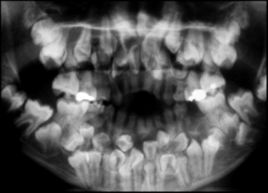
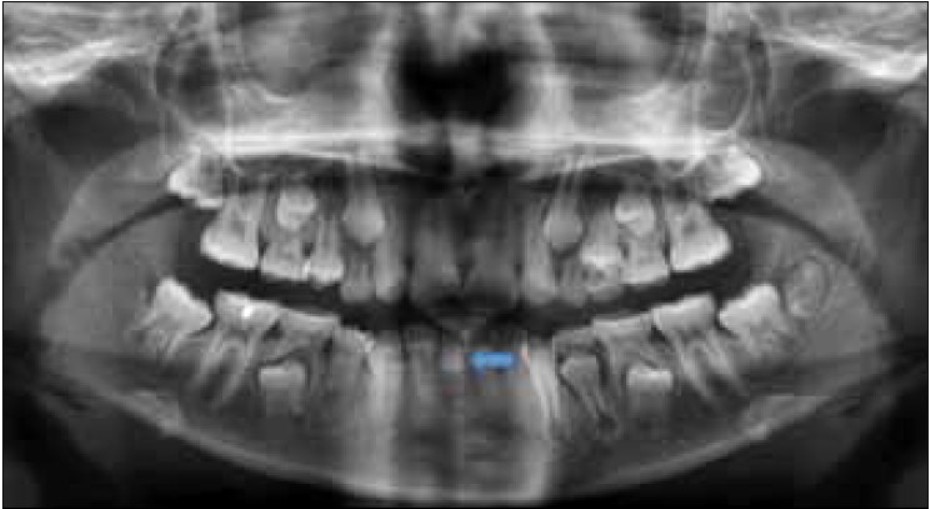
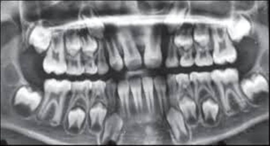
BELOW ARE X-RAYS OF ACTUAL PATIENTS

18

9

8

5

What is Hyperdontia?

what

Hyperdontia is the condition of having supernumerary teeth, or teeth that appear in addition to the regular number of teeth. They can appear in any area of the dental arch and can affect any dental organ.

There is evidence of hereditary factors along with some evidence of environmental factors leading to this condition. While a single excess tooth is relatively common, multiple hyperdontia is rare in people with no other associated diseases or syndromes. Many supernumerary teeth never erupt, but they may delay eruption of nearby teeth or cause other dental or orthodontic problems. Molar-type extra teeth are the rarest form. Dental x-rays are often used to diagnose hyperdontia.

It is suggested that supernumerary teeth develop from a third tooth bud arising from the dental lamina near the regular tooth bud or possibly from splitting the regular tooth bud itself. Supernumerary teeth in deciduous (baby) teeth are less common than in permanent teeth.

Supernumerary teeth can be classified by shape and by position. The shapes include the following:

  • Supplemental (where the tooth has a normal shape for the teeth in that series);
  • Tuberculate (also called barrel shaped);
  • Conical (also called peg shaped);
  • Compound odontoma (multiple small tooth-like forms);
  • Complex odontoma (a disorganized mass of dental tissue)

When classified by position, a supernumerary tooth may be referred to as a mesiodens, a paramolar, or a distomolar.
The most common supernumerary tooth is a mesiodens, which is a malformed, peg-like tooth that occurs between the maxillary central incisors.

Fourth and fifth molars that form behind the third molars are another kind of supernumerary teeth.

See the entire article HERE