zine
scissors
HOME  ABOUT  FICTION  POETRY  ART  SUBMIT  NEWS  ZINES  BEWARE  CONTACT  PLAGUE  BEST  BOOKS  FILMS
The Morbidly Fascinating Page

The Morbidly Fascinating Page

This month: Gruesome X-rays

IN THE ARCHIVES:

Werewolf Syndrome
Jack the Ripper's Victims
The Elephant Man
Radium Girls
Shrunken Heads
Dissections
Alberta the Dog
Synthetic Cadavers

soldier

This X-ray shows a 14.5 millimeter live round of ammunition lodged in the skull of an Afghan soldier. A U.S. military doctor successfully removed the unexploded round -- more than 2 inches long -- at the Bagram Air Field hospital in Afghanistan in the fall of 2014. Notice the life-saving medical tubes placed in his mouth and throat.

cell phone

Cell phones were found in the intestines of four prisoners in El Salvador's maximum-security prison, authorities said in September 2006. Suspicious prison officials took X-rays of each of the prisoners.

knife

A stunning X-ray image shows a knife stuck deep inside a Chinese teenager's cheek. Ren Hanzhi, 13, tripped and fell while peeling an apple -- jamming himself in the face with a nearly 8-inch knife on Jan. 31. Amazingly, the blade did not strike the boy's brain and doctors were able to remove the knife, expecting him to make a full recovery.

Eel

A man in China's southeastern Guangdong province admitted himself to a local hospital after he reportedly got a live eel stuck inside him. According to British tabloid The Sun, the man inserted the 20-inch-long Asian swamp eel into his anus after seeing it done in a porn movie, and he had to endure all-night surgery to have it extracted. 

prisoners

X-rays from Central Prison in Raleigh, N.C., on display in May 2006 show items such as bed springs and batteries that prisoners swallowed to gain trips to outside hospitals.

butter knife

A 30-year-old Atlanta woman with a history of bulimia swallowed a knife while demonstrating that she no longer had a gag reflex for friends, according to the New England Journal of Medicine.

cocaine

CAT SCAN: In this Monday Sept. 12, 2011 image of a CAT scan released by Brazilian Federal Police on Sept. 16, 2011, bags loaded with cocaine are seen inside the body of an unidentified man after he was arrested at the Congonhas airport in Sao Paulo, Brazil on Monday. According to a federal police press release, the man is identified as a young Irish male who tried to board a flight to Brussels after swallowing 72 capsules containing a total of 830 grams.

NOT ALL VICTIMS SURVIVE

died

Police in Sydney, Australia, released this X-ray of the skull of Chen Liu, 27, who died after being shot in the head with a nail gun 34 times in an act of murder. Liu's bound body was found in a river in November. The photo was released as part of a public plea for more information in the case. Liu is shown on the upper left in an undated photo.

MORTUARY CRIME

pvc

Brooklyn District Attorney's Office: A film released in February 2006 shows PVC plumbing pipes put into a deceased person as part of an alleged body parts ring. Several people were charged in the case.

What are X-rays?

X-rays are a type of electromagnetic radiation, just like visible light.

An x-ray machine sends individual x-ray particles through the body. The images are recorded on a computer or film.

  • Structures that are dense (such as bone) will block most of the x-ray particles, and will appear white.
  • Metal and contrast media (special dye used to highlight areas of the body) will also appear white.
  • Structures containing air will be black, and muscle, fat, and fluid will appear as shades of gray.

Source: gov

History

As with many of mankind's monumental discoveries, X-ray technology was invented completely by accident. In 1895, a German physicist named Wilhelm Roentgen made the discovery while experimenting with electron beams in a gas discharge tube. Roentgen noticed that a fluorescent screen in his lab started to glow when the electron beam was turned on. This response in itself wasn't so surprising -- fluorescent material normally glows in reaction to electromagnetic radiation -- but Roentgen's tube was surrounded by heavy black cardboard. Roentgen assumed this would have blocked most of the radiation.

Roentgen placed various objects between the tube and the screen, and the screen still glowed. Finally, he put his hand in front of the tube, and saw the silhouette of his bones projected onto the fluorescent screen. Immediately after discovering X-rays themselves, he had discovered their most beneficial application.

See more HERE

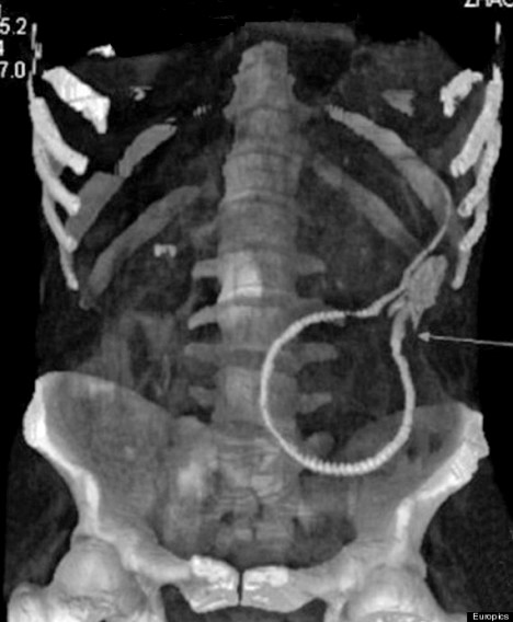
Below is a surgical intrument accidently left in a body after an operation.

scissors2